近期,流感高发
据中国疾控中心最新数据
目前流感病毒阳性率持续上升
其中99%以上为甲流
全国多地疾控提示
要做好个人防护
注意防范呼吸道、肠道传染病
前段时间,一则
“浙江一家6口出游5人感染甲流”
的消息引发关注
据浙大二院消息,有患者家庭一行6人出游,结果5人都感染了甲流。

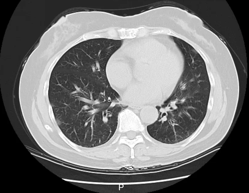
“我们一大家子一周前去旅游了,到第二天开始发热咳嗽喉咙痛,全身肌肉也连带着酸痛,买了个体温计量一量,最高的时候在39℃以上。硬扛了几天,前天实在是顶不住了,去了当地一家医院查了胸片,查出来说是肺炎,建议我住院。我听着吓坏了,赶紧坐飞机回来看病了。”
庞医生判断,李阿姨大概率是得了传染性较强的呼吸道疾病,立即给她安排了血常规、相关病毒抗原检测,以及更清晰的肺部CT检查,以便进一步了解病情。

发热门诊医生立即给她用上了玛巴洛沙韦抗病毒。不出2天,李阿姨的体温恢复了正常,咳嗽咽痛等症状也有了明显好转。
五类人群容易出现严重并发症
有患者轻视流感不幸去世
相比于普通感冒,流感的“杀伤力”更加不容小觑,宁波大学附属第一医院感染科主任钱国清的患者里就有不少人曾因轻视流感的危害而导致严重后果甚至不幸去世。
流感比普通感冒更加“凶险”,免疫功能低下的人硬扛,身体的抵抗力明显下降,此时就容易感染平时不易感染的细菌,导致重症肺炎。
流感病毒还会破坏身体的重要器官如心脏,导致病毒性心肌炎等,甚至出现严重并发症,危及生命。
全人群对流感病毒普遍易感。但流感对5类人群:65岁以上老人、幼儿(小于5岁,尤其是小于2岁)、孕妇、慢性基础疾病患者、高BMI的人群(肥胖人群)等的威胁更大,容易出现严重并发症,如出现流感样症状应尽快就医。
钱国清表示,流感的并发症有:肺炎、喉炎、心肌炎、肌炎、脑膜炎、脑炎等,其中最常见的就是肺炎,而且肺炎尤其是重症肺炎的致死率也很高。
钱国清表示,各个年龄段的人群都是流感的易感人群,都要注意防范流感。
干细胞为什么能治愈流感?
干细胞是一类具有自我更新和分化能力的细胞,它们可以分化成多种类型的细胞,包括免疫细胞和组织细胞。干细胞治疗流感的原理主要体现在以下几个方面:

干细胞具有组织修复功能,能够修复受损的组织和器官。在流感病毒感染时,干细胞可以分化成呼吸道细胞,修复受损的呼吸道黏膜,促进肺组织的修复。例如,MSCs在组织修复阶段会转变为抗炎表型,释放一系列免疫调节因子,促进组织修复过程。